病理学的前世今生
发布时间:2021-01-15 17:23 | 点击次数:953
什么是病理学
按照普遍的理解,病理学科的诞生促进了人类对于疾病的病因、发病机制等方面的研究,帮助人类了解疾病的发生发展规律,阐明疾病本质。同时病理学科也是基础医学与临床医学的桥梁。
通过病理学诊断为临床诊疗提供有力的证据从而辅助临床医生做出正确的治疗决策。
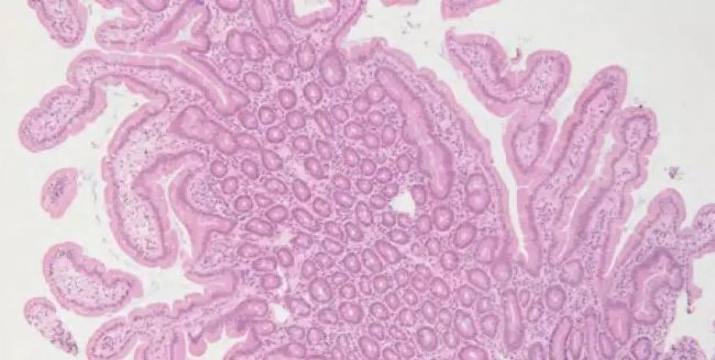
病理诊断的常见手段:病理切片染色
病理学是一门古老的学科
考古发现,人类对于疾病最早的描述出现在古埃及时代,人们在莎草纸上对疾病进行文字化记载,其中很多疾病的描述类似现代医学中提到的骨折以及溃疡等症状。只不过在那个时代,人们对于疾病机理进行探索,往往笼罩上神秘的宗教色彩。
古希腊时期
细心的小伙伴可以注意到,肿瘤的英文“Cancer”,同时也有“巨蟹座”的含义,那是因为在古希腊人眼中,某些特性的肿瘤形成的病灶呈现出僵硬的肿块,并有向四周延伸的分布,犹如病人体内潜伏了一只螃蟹。
然而由于早期人们对疾病的认知往往与宗教神灵以及天文星象混为一谈,所以早期的病理学并没有长足发展。
十六和十七世纪
十六和十七世纪时期,科学家们开始从大量解剖中,由人体器官的功能结构的角度给出临床判读,奠定了现代医学的基础。
十九世纪显微镜的发明,更是使得人们可以从局部组织的特征对疾病进行诊断分类,这也是现代病理诊断产生的技术基础。随着显微镜的诞生,人们得以对人体组织器官进行细致入微的研究,并形成了科学的现代病理学知识体系。
21世纪以来
二十一世纪随着分子生物学赋能临床医学研究,病理的范畴涵盖了从组织到细胞、微生物,再到单个分子及其相互作用,也就相应地形成了组织、细胞、微生物以及分子病理诊断技术。
徕卡生物系统助力病理学研究
徕卡生物系统组织病理部门为组织病理学实验室和研究人员提供最优质、最全面的病理产品系列。理想的产品组合覆盖组织学的每个步骤,还为整个实验室提供高效的工作流程方案。
从组织标本的采集和运送,取材,标本识别,冰冻切片,组织脱水,包埋,石蜡切片,常规染色,到IHC和ISH高端染色,染色/封片工作站等全系列组织学整体解决方案,通过快速精确地诊断和密切的用户合作,更好的关爱患者。
我们的愿景是推进肿瘤诊断,改善生命质量。我们的目标就是要改善癌症诊断的精确性、速度和成本,让更多地人能够享受到快捷、精确地测验,从而推进治疗的优化。Leica Biosystems 建立了全球卓越中心,确保我们打造最优质的制造工厂以及组成最创新的研发团队。
参考文献:
Jan G van den Tweel,Clive R Taylor.A brief history of pathology .Virchows Arch,2010(457):3-10




