徕 “玩” 病理 “涂鸦”
发布时间:2021-06-17 13:22 | 点击次数:506
但您可能会惊讶地发现
与艺术家不同的是,
病理学家通常一次只使用
一种颜色标记靶点
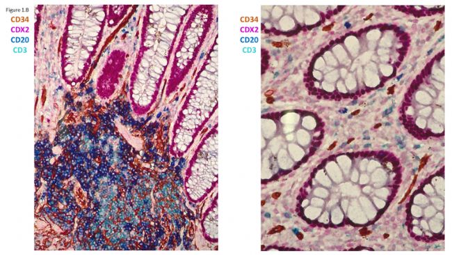
随着技术进步,肿瘤可以被涂上多种颜色,称之为多重染色。如图 1B 所示,四种颜色多重标记人结肠中四种不同类型的细胞。本文的目的是描述肿瘤诊断的过程,并说明为何多重染色对未来肿瘤诊断不可或缺。
2018 年,在全球 76 亿人口中,有 1800 万人确诊患有癌症1。它在诊断前数年就隐匿发病。
是的,不加以约束的话,突变细胞就开始生长。突变越多,长得越快。
那么肿瘤是如何诊断的?
通过组织活检诊断肿瘤进程
虽然身体各个部位的肿瘤具有共同特征,但任何两种肿瘤之间都有不同。肿瘤诊断需要仔细观察每个肿瘤中的细胞和组织形态。
第一步是采集活检组织,活检的范围从用活检针采集非常小的组织到大手术切除非常大的肿块。组织必须经历繁杂步骤才可在显微镜下进行检查。
首先,组织在福尔马林中进行固定,以保护其结构。随后,将固定好的组织包埋在石蜡中,然后将组织切片并置于载玻片上,便于后续染色(“已着色”),以说明细胞和组织中的特征或特异性分子。
肿瘤诊断通常需使用HE、免疫组化和原位杂交等多种形态和分子检测手段来确定确切的肿瘤类型,以准确判断疗效、评估预后等。
出于许多原因(包括 3R – 快速性、稳健性和补偿),目前绝大多数分子染色都是单体形式,即单张组织切片上仅用一种颜色标记单一靶标分子,以观察其在组织中的分布情况。
然而,在复杂情况下,靶标分子染色总数可能超过二十四种,如果每种染色都耗费一张组织切片,将会造成组织切片的极大浪费,尤其是当其他诊断检测需要组织时。
然后,病理学家必须将这些单一染色依次融入大脑中,从而形成患者肿瘤多色图像。
肿瘤诊断的下一个维度,多重染色
如今,为了深度挖掘组织样本中蕴含的丰富生物学信息,研究经常进行多重染色,但由于技术、操作和经济因素的影响,临床诊断实验室很少进行多重染色来作为肿瘤诊断的一部分。
多重染色提供了多种潜在优势,有助于实现肿瘤精准诊断,包括:
01 组织保存
肺癌的诊断和治疗在过去十年里取得了快速进展,但大多数肺癌患者在患癌时无法进行手术。出于这些原因,肺癌通常通过穿刺活检确诊,但能采集到的样本极少。截至 2020 年年中,肺癌中有 9 种不同的分子异常与靶向治疗有关,每种异常都需要消耗一份单独的组织切片进行单独检测。
此外,有些检测需要将几份组织切片送到大型参比实验室或核心机构进行下一代测序 (NGS)。采用多重染色法进行肺癌诊断有助于保存组织,以确保做出准确的诊断,而无需对患者进行重新活检。
02 提高诊断准确性
前列腺癌的诊断通常涉及十多次穿刺活检的检查,患者的诊断和治疗选择在很大程度上取决于识别整个活检过程中癌症的类型、程度和大小。
虽然有些前列腺癌细胞在活检中易于识别,但另一些细胞可能会伪装成良性细胞。称为 PIN4 的多重染色法将良性和恶性前列腺细胞中的标志物相结合,通过不同颜色染色在同一切片上观察到这两种类型的细胞,这有助于病理学家更有信心地作出前列腺癌诊断(或排除前列腺癌)。
03 提高诊断洞察力
随着我们更多地了解了肿瘤如何生长以及新疗法如何阻止其生长,多重染色将成为在每个肿瘤中观察这些因素所需的基本技术。
例如,新一代药物免疫检查点抑制剂阻断了肿瘤免疫抑制能力。虽然还有很多有待了解,但越来越多的人认识到,肿瘤中各种免疫细胞的特征(包括它们的位置和活化状态)会影响检查点抑制剂的作用方式。例如,肿瘤中的淋巴细胞可能会处于“活化”或“耗竭”状态,这两种状态均可通过表达不同颜色着色的不同蛋白在每个细胞中观察到。
肿瘤通常会募集称为髓源性抑制细胞 (MDSC) 的非肿瘤细胞,这些细胞可局部阻断抗肿瘤免疫反应。最后,已经对不同巨噬细胞群,即机体的清除细胞,如何成为促炎或抗炎性细胞,从而在肿瘤生长中起促进作用进行了大量研究。
虽然这两种功能归因于两种类型的巨噬细胞(称为 M1 或 M2),但最近观察结果表明体内不仅仅有两种巨噬细胞,而是有九种不同类型的巨噬细胞!
目前,这些观察结果均未用于癌症患者的常规诊断,因为它们尚未显示会影响预后或治疗选择,但最近研究表明它们非常重要。所掌握的知识正在迅速积累,因此诊断检测中进行肿瘤免疫浸入评估仅仅只是时间问题,这些评估可能需要多重染色。




